Hva skjer på veterinærklinikken?


Symptomer - Hvordan vet jeg at hunden min har ørebetennelse? 

Den enkelte hund reagerer forskjellig på ørebetennelse. Noen hunder gnir, klør og rister på hodet, og noen betennelser blir mer smertefulle.

Øret kan være litt betent med lett synlig endring, eller svært smertefullt, med knallrødt øre og illeluktende utflod.

En hund som klør i øret er ofte glad for berøring, og kan gni seg mot hånden din eller «grynte». Hvis øret er smertefullt, blir hunden ofte mindre aktiv, kan ha skjev hodeholdning eller et hengende øre, og unngår helst berøring. Bjeffing, knurring, hyling eller piping mens den viker unna deg og er motvillig til å la seg håndtere, er alle symptomer på øresmerter.

Det finnes flere typer ørebetennelse. Øret til hunden kan se forskjellig ut avhengig av om problemet er et engangstilfelle eller en tilbakevendende, kronisk tilstand.

Disse bildene viser ulike stadier og former for ørebetennelse.

Bilder (CWalker, ThePhotoVet)

Bestill time hos veterinæren så snart du oppdager tidlige symptomer på øreproblemer. Å handle raskt bidrar til å forhindre at problemet forverres, og tidlig behandling av smerter og betennelse gjør det lettere for hunden å tåle øreundersøkelsen eller medisinering. 

Historie - Hvor lenge har hunden hatt øreproblemer?

For å komme til bunns i hundens øreproblemer og planlegge ytterligere tiltak, må veterinæren samle inn en grundig historikk. Dette skjer ved første veterinærbesøk, men det er ikke uvanlig at man må sette opp oppfølgingsavtaler som kan veilede eventuelle videre tiltak.

Veterinæren vil stille spørsmål om når du først la merke til hundens symptomer, om dette er et tilbakevendende problem eller om dette er en førstegangshendelse.

Hvis det er tilbakevendende, vil veterinæren vite mer om når det skjedde sist og hvordan det ble håndtert. Det er viktig å informere veterinæren om eventuelle rensemidler for ørene eller foreskrevne legemidler, inkludert øredråper, tabletter/orale oppløsninger og injeksjoner som hunden kan ha blitt behandlet med.

Vaner som hyppig svømming og løping i høyt gress vil sannsynligvis bli snakket om så vel som om andre kjæledyr i husholdningen, og om du bruker rutinemessig flått- eller loppekontroll.

Veterinæren vil også være nysgjerrig på hundens generelle helse og om du merker kløe, biting, slikking eller gnikking andre steder på kroppen. Det er ikke noe som heter for mye informasjon!

Undersøkelse – Hvorfor er det nødvendig å undersøke både øret og andre områder av kroppen?

Den innledende samtalen vil bli etterfulgt av en klinisk undersøkelse. Veterinæren vil vurdere hundens generelle helsetilstand og generelt sjekke hud og pels for å oppdage synlige parasitter eller tegn på et mer generalisert hudproblem, som allergisk hudsykdom eller hormonelle lidelser.

Vanlige steder der hunder viser tegn på allergisk hudsykdom, ofte rødhet, er mellom tærne (både på øvre og nedre side av poten), rundt øynene og munnen og i armhulene og lysken.

I tidlige stadier av en ørebetennelse vil øreklaffen og den ytre øregangen se røde ut og kanskje litt hovne, men vanligvis uten tegn på utflod. Etter hvert som tilstanden utvikler seg vil øret se voksaktig og skittent ut, mer hovent og smertefullt, og du kan til og med finne illeluktende puss som kommer ut av øret.

CWalker ThePhotoVet (Left)

Undersøkelse – Hvorfor er det nødvendig å undersøke både øret og andre områder av kroppen?

Den innledende samtalen vil bli etterfulgt av en klinisk undersøkelse. Veterinæren vil vurdere hundens generelle helsetilstand og generelt sjekke hud og pels for å oppdage synlige parasitter eller tegn på et mer generalisert hudproblem, som allergisk hudsykdom eller hormonelle lidelser.

Vanlige steder der hunder viser tegn på allergisk hudsykdom, ofte rødhet, er mellom tærne (både på øvre og nedre side av poten), rundt øynene og munnen og i armhulene og lysken.

I tidlige stadier av en ørebetennelse vil øreklaffen og den ytre øregangen se røde ut og kanskje litt hovne, men vanligvis uten tegn på utflod. Etter hvert som tilstanden utvikler seg vil øret se voksaktig og skittent ut, mer hovent og smertefullt, og du kan til og med finne illeluktende puss som kommer ut av øret.

CWalker ThePhotoVet (Left)

Otoskopi – Hva kan veterinæren oppdage med et otoskop?

Veterinærer bruker et otoskop (navnet på instrumentet som brukes til visuell undersøkelse av ørekanalen) til å se inn i hundens øre. Dette er viktig for å kunne finne øremidd, oppdage fremmedlegemer eller masser i øregangen, se etter sår som kan påvirke behandlingsvalget og visuelt undersøke trommehinnen. En ødelagt trommehinne gjør ting mer komplisert og vil påvirke veterinærens behandlingsplan.

For å kunne utføre en otoskopisk undersøkelse må veterinæren ofte rengjøre hundens ører. Smertene forårsaket av ørebetennelse kan noen ganger gjøre dette vanskelig, og det kan være nødvendig med bedøvelse. Hunden din kan bli sendt hjem med smertestillende og betennelsesdempende medisiner før videre undersøkelser kan gjennomføres.

Hvis hundens øreproblemer har utviklet seg til et mer kronisk stadium, er det ofte nødvendig med dyprengjøring. Hunden din vil trenge generell narkose og tilstrekkelig smertelindrende medisiner.

Otoskopi – Hva kan veterinæren oppdage med et otoskop?

Veterinærer bruker et otoskop (navnet på instrumentet som brukes til visuell undersøkelse av ørekanalen) til å se inn i hundens øre. Dette er viktig for å kunne finne øremidd, oppdage fremmedlegemer eller masser i øregangen, se etter sår som kan påvirke behandlingsvalget og visuelt undersøke trommehinnen. En ødelagt trommehinne gjør ting mer komplisert og vil påvirke veterinærens behandlingsplan.

For å kunne utføre en otoskopisk undersøkelse må veterinæren ofte rengjøre hundens ører. Smertene forårsaket av ørebetennelse kan noen ganger gjøre dette vanskelig, og det kan være nødvendig med bedøvelse. Hunden din kan bli sendt hjem med smertestillende og betennelsesdempende medisiner før videre undersøkelser kan gjennomføres.

Hvis hundens øreproblemer har utviklet seg til et mer kronisk stadium, er det ofte nødvendig med dyprengjøring. Hunden din vil trenge generell narkose og tilstrekkelig smertelindrende medisiner.

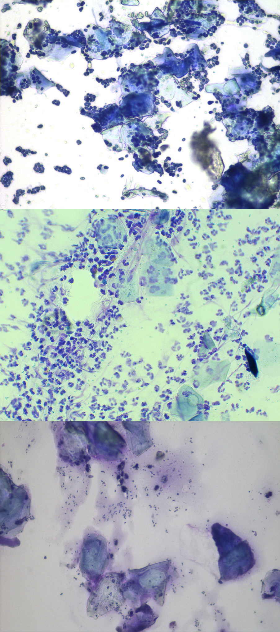
Cytologi – Hvorfor insisterer veterinæren på å utføre cytologi?

Det neste sterkt anbefalte trinnet i undersøkelsen er å ta en prøve av smuss fra hundens øre som skal studeres under et mikroskop, en prosess som kalles cytologi.

Cytologi er en rask og enkel test som kan utføres på veterinærklinikken. Den vil hjelpe veterinæren med å avgjøre om det er tegn på overvekst av bakterier eller sopp.

Ved hjelp av en cytologibørste, en bomullspinne eller muligens en finger med hansker, samles materialet opp fra hundens ører og plasseres på et objektglass. Prøven er farget med spesialfarge slik at veterinæren kan undersøke hva som foregår i hundens øre på mikroskopisk nivå. Alt for å avgjøre om det er overvekst av bakterier eller sopp og se etter inflammatoriske celler som ellers er usynlige for det menneskelige øyet. 

Cytologi – Hvorfor insisterer veterinæren på å utføre cytologi?

Det neste sterkt anbefalte trinnet i undersøkelsen er å ta en prøve av smuss fra hundens øre som skal studeres under et mikroskop, en prosess som kalles cytologi.

Cytologi er en rask og enkel test som kan utføres på veterinærklinikken. Den vil hjelpe veterinæren med å avgjøre om det er tegn på overvekst av bakterier eller sopp.

Ved hjelp av en cytologibørste, en bomullspinne eller muligens en finger med hansker, samles materialet opp fra hundens ører og plasseres på et objektglass. Prøven er farget med spesialfarge slik at veterinæren kan undersøke hva som foregår i hundens øre på mikroskopisk nivå. Alt for å avgjøre om det er overvekst av bakterier eller sopp og se etter inflammatoriske celler som ellers er usynlige for det menneskelige øyet. 

Ikke bare gjør cytologien det mulig for veterinæren å velge en egnet behandling, men det er også nyttig å gjenta den ved kontrollbesøk for å evaluere om behandlingen av hunden har vært vellykket, eller om det er behov for endringer i behandlingsprotokollen, og for å bidra til å utvikle en langsiktig plan for hundens øreproblemer.

Med en økende global bekymring for utviklingen av resistente mikroorganismer, er det viktig å bruke en enkel test som ørecytologi for å veilede ansvarlig behandling.

Takket være den ekstra informasjonen som cytologien gir, har veterinæren mulighet til å bruke antimikrobielle midler:

  • Bare når det er nødvendig
  • For en passende tidsperiode

Last ned informasjon om hvorfor antibiotika
ikke alltid er nødvendig

Hvorfor insisterer veterinærer på å utføre cytologi?

Kultur- og følsomhetstesting - Når kan det være nødvendig å dyrke prøver fra hundens øre?

Ved behandlingssvikt eller bakterier som er vanskelige å identifisere på cytologi, kan det noen ganger være tilrådelig å sende en prøve til et laboratorium for å dyrke bakteriene og for å teste hvilket antibiotikum som er passende, men i de fleste tilfeller gir cytologi tilstrekkelig informasjon.

Behandlingsvalg - Hvordan velger veterinæren en egnet behandling for hunden min?

Når det gjelder behandlingsalternativer for både betennelse og infeksjon i øret, har veterinærteamet mange ulike produkter å velge mellom, og vil velge det som er riktig for deg og din hund.

Hvilke behandlingsalternativer finnes, og hvilke er best?

Dette omfatter ofte ørerengjøringsmidler eller antiseptiske løsninger; anti-inflammatoriske øredråper eller ørepreparater som inneholder antibiotika og/eller soppdrepende midler.

Smertestillende medisiner bør alltid vurderes sammen med de behandlingsalternativene som forårsaker minst mulig smerte for hunden din.

Noen ganger er det nødvendig med tabletter eller injeksjoner for å behandle alvorlig betennelse. Hvis hunden din har kronisk øresykdom, kan det til og med være nødvendig med omfattende kirurgi.

Grunnen til det store utvalget er at når det gjelder otitt, finnes det ikke en enkel løsning som passer for alle situasjoner.  Det kan også hende at hvert øre krever forskjellig tilnærming!

For å finne den beste behandlingen, vil veterinærteamet ta alle følgende faktorer i betraktning:

  • Smerte
  • Grad av inflammasjon
  • Tegn på overvekst av bakterier og sopp
  • Nasjonale retningslinjer for valg av legemidler
  • Du og hundens individuelle forhold når det gjelder kostnader og enkel administrasjon.

Som allerede fremhevet har alle hunder ulik erfaring med ørebetennelse. Dette påvirker ikke bare besøket hos veterinæren, det kan også bety at hunden er motvillig til å bruke medisin.

Det er ikke bare hunden din som må vurderes. For noen eiere er ikke daglig medisinering og rengjøring noe problem. Men noen kan streve med å gi produktet inn i øret, og de fysiske egenskapene til noen produkter, som f.eks. en liten, uhåndterlig hette, kan påvirke brukervennligheten. 

Hvis legemidlet ikke brukes riktig, blir ikke bare resultatet påvirket, men risikoen for antimikrobiell resistens økes også. 

Som du ser må veterinæren vurdere mye forskjellig informasjon før han/hun bestemmer seg for hvordan hundens øre skal behandles på best mulig måte. Du kan bidra ved å gi en tydelig beskrivelse av de bekymringer du har for hunden din, ved å føre oversikt over øresymptomer og dokumentere responsen på tidligere behandlinger der det er aktuelt. 

Last ned en dagbok for hundens ører


keyboard_arrow_up